Front cover

◂ Last issue Next issue ▸ Archive Cover PDF   

Volume 23 (4); 2026

Research Papers

Graphic abstract

Inhibitory effects of patchouli alcohol on hepatocellular carcinoma growth through accumulation of oxidative stress and inactivation of androgen receptor signaling Xiao-Fan Huang, Kai-Fu Chang, Nu-Man Tsai Int. J. Med. Sci. 2026; 23(4): 1174-1189. doi:10.7150/ijms.123787 Full text PDF PubMed PMC


Graphic abstract

Fermented Clostridium butyricum GKB7 Inhibits Osteoarthritis Induced by Anterior Cruciate Ligament Transection in a Preclinical Model Wei-Cheng Chen, Li-Chai Chen, You-Shan Tsai, Yen-Po Chen, Yen-Lien Chen, Chin-Chu Chen, Yen-You Lin, Tzu-Ching Chang, Chen-Ming Su, Chih-Hsin Tang Int. J. Med. Sci. 2026; 23(4): 1190-1197. doi:10.7150/ijms.126850 Full text PDF PubMed PMC


Graphic abstract

Integrated analysis uncovers KCMF1 genetic susceptibility and the SNRPD2 axis in renal cell carcinoma Jiunn-Bey Pao, Yu-Mei Hsueh, Pei-Ling Chen, Tzu-Hao Huang, Chia-Yang Li, Jiun-Hung Geng, Te-Ling Lu, Chao-Yuan Huang, Shu-Pin Huang, Bo-Ying Bao Int. J. Med. Sci. 2026; 23(4): 1198-1208. doi:10.7150/ijms.129880 Full text PDF PubMed PMC


Graphic abstract

Development and Validation of Novel Senescence-TIME Biomarkers for Predicting the Prognosis and Immunotherapy Responsiveness of SKCM Patients Shiying Fan, Shuya Lu, Zilong Wu, Xu Li, Yisong Gao, Gan Mao, Mao Cai, Tianyu Song, Zuojie Peng, Chong Li, Kaixiong Tao, Wei Li Int. J. Med. Sci. 2026; 23(4): 1209-1224. doi:10.7150/ijms.127285 Full text PDF PubMed PMC


Graphic abstract

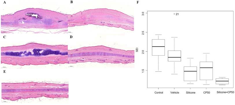
Enhanced Scar Reduction Using Topical Application of Captopril-containing Silicone Gel in a Rabbit Model of Hypertrophic Scars Jeeyoon Kim, Hyun-mu Jo, Jongweon Shin, Eun Young Rha Int. J. Med. Sci. 2026; 23(4): 1234-1242. doi:10.7150/ijms.123608 Full text PDF PubMed PMC


Graphic abstract

IDH1 mutation creates a dependency on fatty acid metabolism that underlies sensitivity to cuproptosis in acute myeloid leukemia cells Xuening Zhang, Dayuan Zheng, Tong Chu, Dongfan Yang, Kuanyun Zhang, Shaokui Liang, Lu Yang, Wenzhe Ma Int. J. Med. Sci. 2026; 23(4): 1243-1256. doi:10.7150/ijms.127886 Full text PDF PubMed PMC


Graphic abstract

Association of NUCB2 genetic variants with the clinicopathological features of oral cancer Chang-Chiang Yu, Hsueh-Ju Lu, Ming-Yu Lien, Chiao-Wen Lin, Jian-Hong Yu, Shun-Fa Yang, Chih-Hsin Tang Int. J. Med. Sci. 2026; 23(4): 1257-1263. doi:10.7150/ijms.129479 Full text PDF PubMed PMC


Graphic abstract

Expression of ubiquitin carboxyl-terminal hydrolase isozyme L1 and chromogranin A regulated via histone-modification through Rho/ERK/NFκB signaling in oxaliplatin-resistant colorectal cancer cells Ko-Chao Lee, Kung-Chuan Cheng, Cheng-Yi Huang, Meng-Chiao Hsieh, Shui-Yi Tung, Yung-Yu Hsieh, Kam-Fai Lee, Chih-Chuan Teng, Hsing-Chun Kuo Int. J. Med. Sci. 2026; 23(4): 1264-1277. doi:10.7150/ijms.126460 Full text PDF PubMed PMC


Graphic abstract

Association of MIAT genetic variants and expression with tumor grade in oral tongue cancer Ping-Ju Chen, Chiao-Wen Lin, Chun-Yi Chuang, Shun-Fa Yang, Ying-Erh Chou Int. J. Med. Sci. 2026; 23(4): 1278-1284. doi:10.7150/ijms.129445 Full text PDF PubMed PMC


Graphic abstract

Non-Coding DNA-Derived Mimotopes of Aβ₄₂ as Novel Candidates for Alzheimer's Peptide Vaccine Design Navya Raj, Shidhi P. R, Rebai Ben Ammar, Peramaiyan Rajendran, Biju Vadakkemukadyil Chellappan Int. J. Med. Sci. 2026; 23(4): 1320-1332. doi:10.7150/ijms.127358 Full text PDF PubMed PMC


Graphic abstract

Single-cell Profiling Reveals Cooperative Participation of SPP1+ Myeloid and POSTN+ Fibroblast Subsets in Inflammation and Remodeling in Thoracic Aortic Aneurysm Yingjiao Ju, Jingyi Yao, Song Zhang, Jiangxu Wu, Jiongao Xiang, Li Min, Mingyuan Liu Int. J. Med. Sci. 2026; 23(4): 1333-1355. doi:10.7150/ijms.124136 Full text PDF PubMed PMC


Graphic abstract

Synergistic Anticancer Effects of Lenvatinib Combined with N-butylidenephthalide in Human Colorectal Cancer Cells Cheng-Chan Yu, Sung-Ying Huang, Shu-Fang Chang, Yu-Hung Kuo, Kuan-Fu Liao, Sheng-Chun Chiu Int. J. Med. Sci. 2026; 23(4): 1356-1368. doi:10.7150/ijms.122381 Full text PDF PubMed PMC


Graphic abstract

The efferocytosis-related genes of SLC26A6, TYRO3, and PDK4 have been identified as predictors of prognosis in hepatocellular carcinoma and are associated with the immune status Jiao-Jiao Yang, Qing Ouyang, Xin-Xin Zeng, Wen-Jian Cen, Ling Deng, Gao-Ping Song, Fang Wang, Li-Yue Sun Int. J. Med. Sci. 2026; 23(4): 1369-1394. doi:10.7150/ijms.120781 Full text PDF PubMed PMC


Graphic abstract

Key statistical recommendations for medical journals: insights from the Global Burden of Disease Study Collaborators Michal Ordak Int. J. Med. Sci. 2026; 23(4): 1395-1407. doi:10.7150/ijms.119771 Full text PDF PubMed PMC


Graphic abstract

Integrative Multi-Omics and Single-Cell Analysis Reveal THOC3 and THOC7 as Oncogenic RNA Processing Regulators in Lung Adenocarcinoma Sachin Kumar, Chung-Che Wu, Dahlak Daniel Solomon, Meng-Chi Yen, I-Jeng Yeh, Ching-Chung Ko, Do Thi Minh Xuan, Kai-Fu Chang, Hui-Ru Lin, Hung-Yun Lin, Chia-Lung Shih, Jian-Bin Chen, Wei-Yi Lee, Chih-Yang Wang, Yung-Kuo Lee, Ngoc Uyen Nhi Nguyen Int. J. Med. Sci. 2026; 23(4): 1408-1430. doi:10.7150/ijms.128975 Full text PDF PubMed PMC


Graphic abstract

Association of Glucagon-like Peptide-1 Receptor Agonists with Mortality and Aspiration Pneumonia in Patients with Type 2 Diabetes After Gastrostomy: A Target Trial Emulation Study Yuan-Tsung Tseng, Chung-Hung Chen, Li-Ping Chou, Shu-Ying Chen, Huai-Yi Huang, Jyun-Wei Wang, Chung-Yi Li Int. J. Med. Sci. 2026; 23(4): 1444-1455. doi:10.7150/ijms.128956 Full text PDF PubMed PMC


Graphic abstract

Beyond Conventional Analgesics: Updated Evidence Supporting Botulinum Toxin Type A for-Neuralgia Management Jui-Ting Yu, Chen-Pi Li, Tsai-Mei Huang, Ru-Yin Tsai Int. J. Med. Sci. 2026; 23(4): 1456-1469. doi:10.7150/ijms.130934 Full text PDF PubMed PMC


Graphic abstract

Longitudinal Radiological Remodeling after Irreversible Electroporation Versus Radiofrequency Ablation: A Prospective Comparative Study (The LIRA Study) Yiting Liu, Qin Liu, Haiyang Yu, Wei Huang, Ziyin Wang, Qingbing Wang, Jingjing Liu, Xiaoyan Fei, Junwei Gu, Zhongmin Wang, Xiaoyi Ding, Zhiyuan Wu Int. J. Med. Sci. 2026; 23(4): 1470-1481. doi:10.7150/ijms.133300 Full text PDF PubMed PMC


Graphic abstract

Association of retinal microvascular abnormalities with cardiovascular diseases in patients with severe carotid artery stenosis Li Zhang, Qi-Bo Ran, Chun-Yan Lei, Fei-Peng Jiang, Tian-Yu Yang, Zhi-Hao Xiao, Sheng Gao, Mei-Xia Zhang Int. J. Med. Sci. 2026; 23(4): 1482-1490. doi:10.7150/ijms.126670 Full text PDF PubMed PMC


Graphic abstract

Metabolomics Reveals the Anti-hepatic Fibrosis Mechanisms of Pueraria lobata (Willd.) Ohwi Extract and Potential Metabolites Alterations Yu-Ju Chen, Lo-Yun Chen, Ngoc-Thac Pham, John Louie Dela Vega, Federica Fulgheri, Ching-Chiung Wang, Maria Letizia Manca, Chia-Jung Lee Int. J. Med. Sci. 2026; 23(4): 1491-1508. doi:10.7150/ijms.129139 Full text PDF PubMed PMC


Graphic abstract

New-onset renal diseases after total knee arthroplasty in patients with osteoarthritis: a multicenter retrospective cohort study Shiu-Jau Chen, Hsin-Yo Lu, Chih-Lung Wu, Chun-Wei Lin, Hui-Chin Chang, Shuo-Yan Gau Int. J. Med. Sci. 2026; 23(4): 1509-1518. doi:10.7150/ijms.121331 Full text PDF PubMed PMC


Graphic abstract

Magnesium Oxide Use and Clinical Outcomes in CKD Patients: Evidence from a Nationwide Population-Based Cohort Study in Taiwan Po-Jen Hsiao, Liam Li-An Tsou, Chung-Chi Yang, Li-Yen Huang, Ruei-Lin Wang, Jenq-Shyong Chan, Kun-Lin Wu, Yung-Hsi Kao, Chu-Lin Chou Int. J. Med. Sci. 2026; 23(4): 1519-1534. doi:10.7150/ijms.125059 Full text PDF PubMed PMC


Graphic abstract

Cisplatin Induces Inflammation by Activating IL-6 via Suppressing rno-let-7g-5p and rno-let-7f-5p Expression in Intestinal Epithelial Cells Chi-Jen Chang, Tsung-Ming Chang, Ying-Sui Sun, Kuan-Ting Lu, Ju-Fang Liu Int. J. Med. Sci. 2026; 23(4): 1554-1566. doi:10.7150/ijms.131043 Full text PDF PubMed PMC


Graphic abstract

Betulin inhibits inflammatory factors synthesis in osteoarthritis synovial fibroblasts by suppressing the PI3K, Akt, and mTOR pathways and activating miR-5006-5p Kun-Tsan Lee, Chun-Hao Tsai, Yu-Han Wang, Xiu-Yuan He, Yi-Chin Fong, Chih-Yuan Ko, Chih-Hsin Tang Int. J. Med. Sci. 2026; 23(4): 1567-1576. doi:10.7150/ijms.130493 Full text PDF PubMed PMC


Graphic abstract

Risk of peripheral vestibular disorders and hearing impairment among users of glucagon-like peptide-1 receptor agonists Jing-Yang Huang, Yen-Ting Lu, Chung-Han Hsin, Tun-Shin Lo, Chia-Yi Lee, Shun-Fa Yang, Miao-Yu Liao Int. J. Med. Sci. 2026; 23(4): 1577-1587. doi:10.7150/ijms.131397 Full text PDF PubMed PMC

Reviews

Graphic abstract

Posterior placenta accreta spectrum: unraveling distinctive clinical features and diagnostic challenges Yating Wu, Kuifang Shen, Caihong Hu, Jianling Wei, Jingrui Huang, Chenlin Pei Int. J. Med. Sci. 2026; 23(4): 1225-1233. doi:10.7150/ijms.127179 Full text PDF PubMed PMC


Graphic abstract

CYP450 Constraints in Infants: A Multidomain Convergence Framework for Investigating Mechanistic Vulnerability Gary S. Goldman Int. J. Med. Sci. 2026; 23(4): 1285-1319. doi:10.7150/ijms.129127 Full text PDF PubMed PMC


Graphic abstract

Atropine Eye Drops in Childhood Myopia Control: A Review Qin Zhu, Yanhua Chen, Xuejiao Li, Liping Xue, Xiaofan Zhang, Guanglong Zhou, Yuan Zhou, Jieying Zhang, Allison Wilde, Yingting Zhu, Yuezu Li Int. J. Med. Sci. 2026; 23(4): 1431-1443. doi:10.7150/ijms.126651 Full text PDF PubMed PMC


Graphic abstract

The Multi-dimensional Mechanisms and Transformation Prospects of the Intratumoral Microbiota-Arginine Metabolism Axis in Tumor Progression and Immune Regulation Shuyang Yu, Jinhua Chen, Wan Shu, Guanxiao Chen, Xiaoyu Shen, Shuangshuang Cheng, Kejun Dong, Hongbo Wang Int. J. Med. Sci. 2026; 23(4): 1535-1553. doi:10.7150/ijms.128450 Full text PDF PubMed PMC

Popup Image