Int J Med Sci 2022; 19(3):488-489. doi:10.7150/ijms.71282 This issue Cite

Erratum

Role of Sirolimus in renal tubular apoptosis in response to unilateral ureteral obstruction: Erratum

Mei Yang1, Yang-yang Zhuang1, Wei-wei Wang1, Hai-ping Zhu1, Yan-jie Zhang1, Sao-ling Zheng2, Yi-Rrong Yang2, Bi-Cheng Chen3, Peng Xia2 Corresponding address, Yan Zhang2 Corresponding address

1. Department of Intensive Care Unit, the First Affiliated Hospital of Wenzhou Medical University, Wenzhou, Zhejiang Province, China 325015
2. Transplantation centre, the First Affiliated Hospital of Wenzhou Medical University, Wenzhou, Zhejiang Province, China 325015
3. Zhejiang Provincial Top Key Discipline in Surgery, Wenzhou Key Laboratory of Surgery, Department of Surgery, The First Affiliated Hospital of Wenzhou Medical University, Wenzhou, Zhejiang Province 325015, China

Published 2022-3-3

Citation:
Yang M, Zhuang Yy, Wang Ww, Zhu Hp, Zhang Yj, Zheng Sl, Yang YR, Chen BC, Xia P, Zhang Y. Role of Sirolimus in renal tubular apoptosis in response to unilateral ureteral obstruction: Erratum. Int J Med Sci 2022; 19(3):488-489. doi:10.7150/ijms.71282. https://www.medsci.org/v19p0488.htm
Other styles

File import instruction

Corrected-article in Int J Med Sci, Volume 15, 1433

 

In our paper [1], Figure 1 and Figure 2 should be corrected as follows.

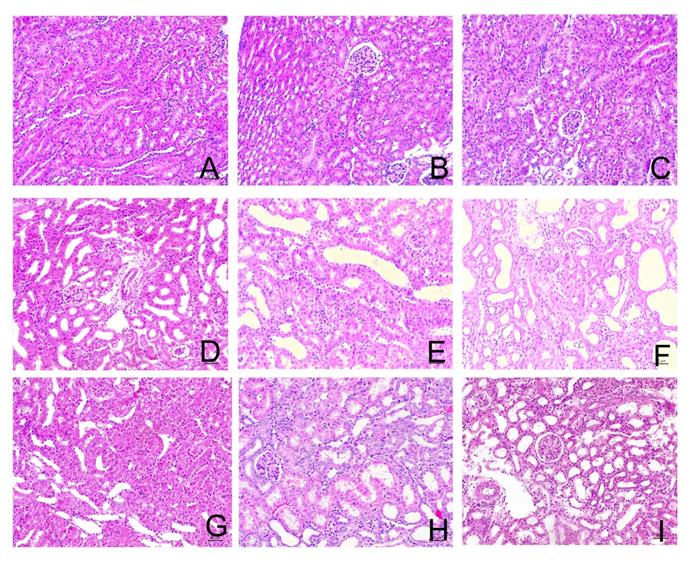
 Figure 1 

Sirolimus attenuated the histological changes in the obstructed kidney induced by UUO. Representative hematoxylin-eosin staining micrographs of (A, B, C) Sham group, (D, E, F) UUO group and (G, H, I) Sirolimus group. Original magnification×200.

Int J Med Sci Image
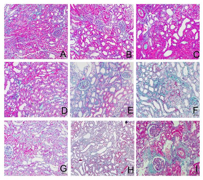
 Figure 2 

Sirolimus attenuated the interstitial collagen deposition in the obstructed kidney induced by UUO. Representative Masson's trichrome staining micrographs of (A, B, C) Sham group, (D, E, F) UUO group and (G, H, I) Sirolimus group. Original magnification×200.

Int J Med Sci Image

References

1. Yang M, Zhuang Yy, Wang Ww, Zhu Hp, Zhang Yj, Zheng Sl, Yang YR, Chen BC, Xia P, Zhang Y. Role of Sirolimus in renal tubular apoptosis in response to unilateral ureteral obstruction. Int J Med Sci. 2018;15(13):1433-1442 doi:10.7150/ijms.26954

Author contact

Corresponding address Corresponding authors: Peng Xia, MD, Transplantation centre, the First Affiliated Hospital of Wenzhou Medical University, Wenzhou, Zhejiang, China 325015. Phone: +86-13857753169, E-mail: pengxia602com and Yan Zhang, MD, PHD, Transplantation centre, the First Affiliated Hospital of Wenzhou Medical University, Wenzhou, Zhejiang, China 325015. Phone: +86-15858583023, E-mail: biobabrycom


Citation styles

APA
Yang, M., Zhuang, Y.y., Wang, W.w., Zhu, H.p., Zhang, Y.j., Zheng, S.l., Yang, Y.R., Chen, B.C., Xia, P., Zhang, Y. (2022). Role of Sirolimus in renal tubular apoptosis in response to unilateral ureteral obstruction: Erratum. International Journal of Medical Sciences, 19(3), 488-489. https://doi.org/10.7150/ijms.71282.

ACS
Yang, M.; Zhuang, Y.y.; Wang, W.w.; Zhu, H.p.; Zhang, Y.j.; Zheng, S.l.; Yang, Y.R.; Chen, B.C.; Xia, P.; Zhang, Y. Role of Sirolimus in renal tubular apoptosis in response to unilateral ureteral obstruction: Erratum. Int. J. Med. Sci. 2022, 19 (3), 488-489. DOI: 10.7150/ijms.71282.

NLM
Yang M, Zhuang Yy, Wang Ww, Zhu Hp, Zhang Yj, Zheng Sl, Yang YR, Chen BC, Xia P, Zhang Y. Role of Sirolimus in renal tubular apoptosis in response to unilateral ureteral obstruction: Erratum. Int J Med Sci 2022; 19(3):488-489. doi:10.7150/ijms.71282. https://www.medsci.org/v19p0488.htm

CSE
Yang M, Zhuang Yy, Wang Ww, Zhu Hp, Zhang Yj, Zheng Sl, Yang YR, Chen BC, Xia P, Zhang Y. 2022. Role of Sirolimus in renal tubular apoptosis in response to unilateral ureteral obstruction: Erratum. Int J Med Sci. 19(3):488-489.

This is an open access article distributed under the terms of the Creative Commons Attribution License (https://creativecommons.org/licenses/by/4.0/). See http://ivyspring.com/terms for full terms and conditions.
Popup Image