Front cover

◂ Last issue Next issue ▸ Archive Cover PDF   

Volume 22 (13); 2025

Research Papers

Graphic abstract

Tumor Deposits in Non-Metastatic Colorectal Cancer as a Risk Factor of Peritoneal Metastasis Alberto Vilar Tabanera, Manuel Díez Alonso, Yousef Allaoua, Lucas Casalduero, Fernando Mendoza Moreno, Félix Mañes, Belén Matías, Lucía Diego, Cristina Vera Mansilla, Laura Castellá Bataller, Raúl Diaz-Pedrero, Miguel A Ortega, Melchor Álvarez de Mon, Alberto Gutiérrez Int. J. Med. Sci. 2025; 22(13): 3162-3173. doi:10.7150/ijms.113099 Full text PDF PubMed PMC


Graphic abstract

Predicting the Outcome of Lymphovenous Anastomosis for Lower Extremity Lymphedema through Lymphoscintigraphy Eun Ji Han, Ji Won Moon, Ji Min Son, Mihai Oltean, Mats Hellström, Francesco Boccardo, Min Jong Song Int. J. Med. Sci. 2025; 22(13): 3174-3181. doi:10.7150/ijms.111506 Full text PDF PubMed PMC


Graphic abstract

Efficacy and safety of direct oral anticoagulants in patients with venous thrombosis and inherited thrombophilia Amir Warwar, Iren Zargari, Nili Stein, Ibrahim Zoubi, Emad Muhammad, Shoshan Perek, Marwa Naamneh, Meir Preis, Walid Saliba Int. J. Med. Sci. 2025; 22(13): 3182-3190. doi:10.7150/ijms.108258 Full text PDF PubMed PMC


Graphic abstract

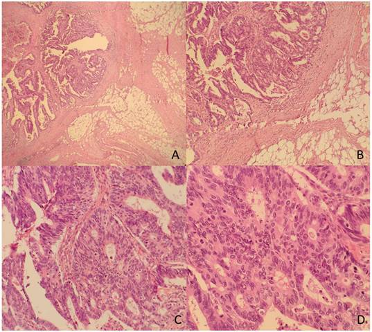
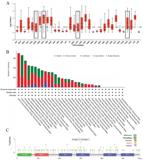
Identification of IGF2BP3 for the Expression and Prognosis in Gastrointestinal Cancers Fengfeng Han, Chen He, Chen Qian, Yujie Wang, Mingge Zhou, Ruirui Yang, Zhou Zhang Int. J. Med. Sci. 2025; 22(13): 3191-3201. doi:10.7150/ijms.114411 Full text PDF PubMed PMC


Graphic abstract

Soluble endoglin reflects endothelial dysfunction in myocardial infarction patients: a retrospective observational study J. Urbankova Rathouska, J. Mrazkova, C. Andrys, K. Jankovicova, K. Tripska, P. Fikrova, I. Nemeckova, S. Eissazadeh, P. Wohlfahrt, J. Pitha, P. Nachtigal Int. J. Med. Sci. 2025; 22(13): 3220-3228. doi:10.7150/ijms.115222 Full text PDF PubMed PMC


Graphic abstract

Cardiovascular and brain effects of liraglutide in transthyretin amyloidosis (ATTR) mice models Mengqing Zhang, Zonglin Li, Xiaoling Cai, Fang Lv, Xin Wen, Chengcheng Guo, Chu Lin, Linong Ji Int. J. Med. Sci. 2025; 22(13): 3229-3241. doi:10.7150/ijms.112264 Full text PDF PubMed PMC


Graphic abstract

Association of long noncoding RNA MEG3 genetic variants with the risk of diabetic neuropathy Ying-Chi Fan, Po-Jen Yang, Yu-Fan Liu, Lun-Ching Chang, Shih-Chi Su, Shun-Fa Yang Int. J. Med. Sci. 2025; 22(13): 3242-3249. doi:10.7150/ijms.112883 Full text PDF PubMed PMC


Graphic abstract

Human Epididymis Protein 4 Predicted Concurrent Intermediate-high-risk Endometrial Cancer and Eligibility of Fertility-sparing Treatment for Patients Diagnosed with Endometrial Atypical Hyperplasia Before Surgery Yaochen Lou, Weirong Ma, Feng Jiang, Jun Guan Int. J. Med. Sci. 2025; 22(13): 3292-3303. doi:10.7150/ijms.115170 Full text PDF PubMed PMC


Graphic abstract

Protective Role of High-Density Lipoprotein Cholesterol in Stress Urinary Incontinence with Special Emphasis on Overweight/Obese Individuals Junlong Huang, Ziqiao Wang, Zheng Liu, Bolong Liu, Wenshuang Li, Xiangfu Zhou Int. J. Med. Sci. 2025; 22(13): 3304-3315. doi:10.7150/ijms.116324 Full text PDF PubMed PMC


Graphic abstract

HK2-mediated Glycolysis Inhibits Mineralization of Cementoblasts Under Compression by Suppressing the Piezo1/Wnt Signaling Zhilong Huang, Hengyu Hu, Ye Meng, Houxuan Li, Lang Lei Int. J. Med. Sci. 2025; 22(13): 3316-3328. doi:10.7150/ijms.109287 Full text PDF PubMed PMC


Graphic abstract

Comparison of Artificial Intelligence Models Using CT Radiomics for Predicting Post-Vertebral Augmentation Residual Back Pain in Osteoporotic Vertebral Compression Fractures Chen Ge, Changwei Li, Yaoqing Zhu, Chonglin Yang, Xiangyang Xu Int. J. Med. Sci. 2025; 22(13): 3329-3341. doi:10.7150/ijms.114419 Full text PDF PubMed PMC


Graphic abstract

Statins and Pacing-Induced Atrial Myopathy: Unraveling Their Role in Atrioventricular Block Patients with Permanent Pacemakers Yu-Sheng Lin, Wan-Chun Ho, Meng-Hung Lin, Ting-Yu Kuo, Chang-Min Chung, Pei-Chun Yen, Yung-Lung Chen, Huang-Chung Chen, Wei-Chieh Lee Int. J. Med. Sci. 2025; 22(13): 3342-3353. doi:10.7150/ijms.113087 Full text PDF PubMed PMC


Graphic abstract

CLCN5 inhibits tumorigenesis and fatty acid accumulation in clear cell renal cell carcinoma by regulating Enoyl CoA hydratase and 3-Hydroxyacyl CoA dehydrogenase Tiexi Yu, Weiquan Li, Xiangui Meng, Wei Yang, Hailong Ruan, Wen Xiao, Xiaoping Zhang Int. J. Med. Sci. 2025; 22(13): 3354-3370. doi:10.7150/ijms.105969 Full text PDF PubMed PMC


Graphic abstract

Myofunctional Therapy and Its Effects on Retropalatal Narrowing and Snoring: A Preliminary Analysis of Rehabilitative Approaches Vitriana Biben, Fatrika Dewi, Shinta Sari Ratunanda, Nushrotul Lailiyya, Sitti Ayu Hemas Nurarifah, Nabilla Fikria Alviani Int. J. Med. Sci. 2025; 22(13): 3371-3379. doi:10.7150/ijms.113922 Full text PDF PubMed PMC


Graphic abstract

Investigation of The Hepatoprotective Potential of Liposomal Resveratrol as Polyphenols Against Liver Damage in Streptozotocin Diabetic Rat Model Ahmed Z. Alanazi, Mohammad M. Algahtani, Faisal A. Alotaibi, Salim S. Al-Rejaie, Mohammed Alqinyah, Abdullah S. Alhamed, Hussain N. Alhamami, Ahmed Nadeem, Mohammad Raish, Khaldoon Aljerian, Adel M. Alragas, Khalid Alhazzani Int. J. Med. Sci. 2025; 22(13): 3380-3392. doi:10.7150/ijms.109115 Full text PDF PubMed PMC


Graphic abstract

Atractylodes macrocephala Koidzumi modulates human colonic motility via ICCs pacemaker suppression and cAMP/ATP-sensitive K⁺ channel pathways Tae Sik Sung, Seok Jae Ko, Woo-Gyun Choi, Jae-Woo Park, Byung Joo Kim Int. J. Med. Sci. 2025; 22(13): 3412-3421. doi:10.7150/ijms.116169 Full text PDF PubMed PMC


Graphic abstract

Psoriasis Patients are Associated with Increased Risk of New-Onset Irritable Bowel Syndrome: A Multicenter, Retrospective Cohort Study Shiu-Jau Chen, Hui-Chin Chang, Shuo-Yan Gau Int. J. Med. Sci. 2025; 22(13): 3422-3428. doi:10.7150/ijms.116551 Full text PDF PubMed PMC


Graphic abstract

Alpha-bisabolol protects against neonatal asthma by suppressing airway inflammatory signaling Rekha Thiruvengadam, Mydhili Govindarasu, Jamal Mohammed Ali Khaled, Seungho Lee, Jin Hee Kim Int. J. Med. Sci. 2025; 22(13): 3429-3438. doi:10.7150/ijms.96371 Full text PDF PubMed PMC


Graphic abstract

Extracellular Matrix Stiffness Enhancement Promotes Docetaxel Resistance in Prostate Cancer via Inhibition of Apoptosis Mediated by Upregulation of PRRX1 Jiahao Chen, Mengting Chen, Zhiwen Xie, Luheng Shen, Juntao Jiang, Shujie Xia Int. J. Med. Sci. 2025; 22(13): 3454-3463. doi:10.7150/ijms.111171 Full text PDF PubMed PMC


Graphic abstract

Total Bile Acids: A Game-Changer in Predicting Short-Term Outcomes in AIS Patients Undergoing Thrombolysis Zhuohang Liu, Min Chu, Zengyu Zhang, Jing Zhao Int. J. Med. Sci. 2025; 22(13): 3464-3476. doi:10.7150/ijms.108310 Full text PDF PubMed PMC


Graphic abstract

NDUFS1 upregulates ENaCα by NAD+ to promote alveolar fluid clearance in acute lung injury Mengmeng Wang, Mengting Chen, Jianping Zhu, Yu Zhang, Jian Lu, Zhiying Yue, Zhengfeng Yang, Ruilan Wang Int. J. Med. Sci. 2025; 22(13): 3477-3489. doi:10.7150/ijms.112248 Full text PDF PubMed PMC

Reviews

Graphic abstract

Role of Iron Metabolic Disturbances and Inflammatory Iron Biomarkers in Liver Transplant Prognosis Lu Yu, Jun Xu, Ting Que, Zhezhi Miao, Yifeng Zhou, Shuping Que, Shusen Zheng, Zhengtao Liu Int. J. Med. Sci. 2025; 22(13): 3202-3219. doi:10.7150/ijms.113479 Full text PDF PubMed PMC


Graphic abstract

Research Progress of Combining High Tibial Osteotomy with Platelet-rich Plasma for Osteoarthritis Therapy Xiangdong Wen, Yichen Zhang, Xingchen Wei, Yang Su, Jinquan Cui, Senbo An, Shui Sun Int. J. Med. Sci. 2025; 22(13): 3250-3259. doi:10.7150/ijms.114227 Full text PDF PubMed PMC


Graphic abstract

Primary cilia and their role in preeclampsia Lingyun Liao, Rong Zhou, Min Liu Int. J. Med. Sci. 2025; 22(13): 3260-3267. doi:10.7150/ijms.114433 Full text PDF PubMed PMC


Graphic abstract

Single-Gene Mutations in Hepatocellular Carcinoma: Applications and Challenges in Precision Medicine Haiyang Yu, Xiangxiang Wu, Yiting Liu, Congling Xin, Yu Zhou, Xiaoyi Ding Int. J. Med. Sci. 2025; 22(13): 3268-3276. doi:10.7150/ijms.117603 Full text PDF PubMed PMC


Graphic abstract

Radiotherapy elicits immunogenic cell death and metabolic shifts in the tumor microenvironment: implications for immunotherapy Zi-Shan Hang, Yue-Ying Huang, An Song, Zhi-Jun Sun Int. J. Med. Sci. 2025; 22(13): 3277-3291. doi:10.7150/ijms.109515 Full text PDF PubMed PMC


Graphic abstract

Exploring the Multifactorial Regulation of PIEZO1 in Chondrocytes: Mechanisms and Implications Gongwu Yuan, Ziren Xiong, Xi Ke, Guodong Wang, Ximing Liu, Zhigang Li Int. J. Med. Sci. 2025; 22(13): 3393-3411. doi:10.7150/ijms.111082 Full text PDF PubMed PMC


Graphic abstract

Effect of Pituitary-Target Gland Axis on RAAS in the Context of COVID-19 Baofeng Wu, Ru Li, Qinhao Liu, Shuqing Jin, Hongxia Wei, Ming Xu, Yi Zhang, Yunfeng Liu Int. J. Med. Sci. 2025; 22(13): 3439-3453. doi:10.7150/ijms.114924 Full text PDF PubMed PMC

Popup Image