Int J Med Sci 2011; 8(1):48-55. doi:10.7150/ijms.8.48 This issue Cite

Research Paper

Ozone Therapy and Hyperbaric Oxygen Treatment in Lung Injury in Septic Rats

Levent Yamanel1, Umit Kaldirim1, Yesim Oztas2 Corresponding address, Omer Coskun3, Yavuz Poyrazoglu4, Murat Durusu1, Tuncer Cayci5, Ahmet Ozturk6, Seref Demirbas6, Mehmet Yasar7, Orhan Cinar1, Salim Kemal Tuncer1, Yusuf Emrah Eyi1, Bulent Uysal8, Turgut Topal8, Sukru Oter8, Ahmet Korkmaz8

1. Department of Emergency Medicine, Gulhane Military Medical Academy, Ankara, Turkey;
2. Department of Clinical Biochemistry, Hacettepe University, School of Medicine, Ankara, Turkey;
3. Department of Infectious Disease, Gulhane Military Medical Academy, Ankara, Turkey;
4. Department of General Surgery, Elazıg Military Hospital, Elazıg, Turkey;
5. Department of Clinical Biochemistry, Gulhane Military Medical Academy, Ankara, Turkey;
6. Department of Internal Medicine, Gulhane Military Medical Academy, Ankara, Turkey;
7. Department of Surgery, Gulhane Military Medical Academy, Ankara, Turkey;
8. Department of Physiology, Gulhane Military Medical Academy, Ankara, Turkey.

Received 2010-10-28; Accepted 2010-12-20; Published 2011-1-3

Citation:
Yamanel L, Kaldirim U, Oztas Y, Coskun O, Poyrazoglu Y, Durusu M, Cayci T, Ozturk A, Demirbas S, Yasar M, Cinar O, Tuncer SK, Eyi YE, Uysal B, Topal T, Oter S, Korkmaz A. Ozone Therapy and Hyperbaric Oxygen Treatment in Lung Injury in Septic Rats. Int J Med Sci 2011; 8(1):48-55. doi:10.7150/ijms.8.48. https://www.medsci.org/v08p0048.htm
Other styles

File import instruction

Abstract

Various therapeutic protocols were used for the management of sepsis including hyperbaric oxygen (HBO) therapy. It has been shown that ozone therapy (OT) reduced inflammation in several entities and exhibits some similarity with HBO in regard to mechanisms of action. We designed a study to evaluate the efficacy of OT in an experimental rat model of sepsis to compare with HBO. Male Wistar rats were divided into sham, sepsis+cefepime, sepsis+cefepime+HBO, and sepsis+cefepime+OT groups. Sepsis was induced by an intraperitoneal injection of Escherichia coli; HBO was administered twice daily; OT was set as intraperitoneal injections once a day. The treatments were continued for 5 days after the induction of sepsis. At the end of experiment, the lung tissues and blood samples were harvested for biochemical and histological analysis. Myeloperoxidase activities and oxidative stress parameters, and serum proinflammatory cytokine levels, IL-1β and TNF-α, were found to be ameliorated by the adjuvant use of HBO and OT in the lung tissue when compared with the antibiotherapy only group. Histologic evaluation of the lung tissue samples confirmed the biochemical outcome. Our data presented that both HBO and OT reduced inflammation and injury in the septic rats' lungs; a greater benefit was obtained for OT. The current study demonstrated that the administration of OT as well as HBO as adjuvant therapy may support antibiotherapy in protecting the lung against septic injury. HBO and OT reduced tissue oxidative stress, regulated the systemic inflammatory response, and abated cellular infiltration to the lung demonstrated by findings of MPO activity and histopathologic examination. These findings indicated that OT tended to be more effective than HBO, in particular regarding serum IL-1β, lung GSH-Px and histologic outcome.

Keywords: Sepsis, Escherichia coli, HBO, Ozone, Oxidant stress, Antioxidant.

INTRODUCTION

In spite of the advanced antibiotic therapies, supportive treatments and technological facilities, sepsis continues to be a clinical entity with high morbidity and mortality [1]. The pathophysiology of sepsis involves complex interactions between host organs and the invading pathogen. Ultimately, tissue damage and organ failure result from the adverse effects of systemic activation of regulatory pathways [2-3]. Systemic elevations in the levels of proinflammatory cytokines such as tumor necrosis factor (TNF-α) and several interleukins (i.e., IL-1, IL-6 and IL-10) play a chief role within this phenomenon [4]. The lung is the organ which is affected initially, and sepsis leads to severe injury in lung tissue [5]. It has been shown that pericytes in lung tissue produce proinflammatory cytokines in response to lipopolysaccharide (LPS) [6].

Hyperbaric oxygen (HBO) therapy is a well established therapeutic approach increasing oxygen concentration in all tissues; improving blood flow to compromised organs; stimulating angiogenesis; increasing antioxidant enzyme expression; and aiding in the suppression of infections by enhancing white blood cell action [7]. Previous experimental reports have displayed that HBO therapy reduced oxidative stress in liver and kidney tissues of septic rats [8-9]. Interception of the excessive proinflammatory cytokines secretion, improvement of the physiological vascular defense systems, and reduction in mortality rates were demonstrated by various studies on HBO administration in experimental septic shock models [10-12].

Medical ozone therapy (OT) is a distinct therapeutic modality which depends on the administration of a gas mixture comprising ozone and oxygen to body fluids and cavities. The ozone/oxygen mixture was reported to exhibit various effects on the immune system, such as the modulation of phagocytic activity [13]. Clinical and experimental studies have so far shown that OT seems useful in inflammation-mediated diseases including infected wounds, chronic skin ulcers, burns, and advanced ischemic diseases [14]. It was also suggested that OT causes an upregulation of antioxidant enzyme expression [15]. Recent reports demonstrated an obvious oxidative stress reducing effect of OT in experimental rat models of necrotizing enterocolitis and caustic esophageal burn injury [16-17]. Additionally, OT was shown to prevent bacterial translocation to various tissues including pancreas, peritoneum, liver, mesenteric lymph nodes and cecum [18]. Interestingly, OT and HBO seem to exhibit similar mechanisms of action to some extent; i.e. stimulating antioxidant enzyme systems and enhancing oxygen delivery to tissues [19]. Although efficacy of OT in sepsis was tested in some experimental settings, the benefits of OT have not been clarified adequately [20-23].

Introduction of new strategies for treatment of lung injury in sepsis is important to decrease morbidity and mortality. This study was designed to define the efficacy of OT as an adjuvant to antibiotherapy in an experimental rat model of sepsis. In terms of their similar mode of action, OT will also be compared to HBO to evaluate possible differences among their therapeutic effects.

MATERIALS AND METHODS

Animals

A total of 40 male Wistar albino rats (200-250 g) were used for the study. All animal procedures were approved by the Institutional Committee on the Care and Use of Animals of Gulhane Military Medical School (Issue; 2009/45). Before the experiment, animals had been fed standard rat chow and water ad libitum and housed in cages with controlled temperature and 12-hour light/dark cycle for at least 1 week.

Experimental groups

Antibiotherapy is an established protocol in the therapy of sepsis. An untreated sepsis group was forbidden to ensure humane and proper care of experimental animals by the local ethical committee. The antibiotic (cefepime) alone treated group was assigned as control group to be compared with the groups of adjuvant treatment modalities. Fifteen rats were used in preliminary studies to set the sepsis model and to achieve the appropriate cefepime dosage to reach the maximal survival rate needed for 5-days of experimental period. The onset of sepsis was determined by clinical follow-up, heart rate count and rectal temperature measurements. The other 40 rats were randomly divided into four groups containing ten rats in each, sham, control, HBO, and OT groups.

All treatments were started 10 hours after E.coli inoculation; the sham animals had been injected physiological saline (10 ml/kg) while the control group received cefepime HCl (50 mg/kg) every 12 hours intraperitoneally (i.p.) for five consecutive days; HBO had been administered at 2.8 atm pressure with 100% O2 inhalation for 90 minutes twice daily and OT was carried out by i.p. injections of the ozone/oxygen gas mixture at an estimated ozone dose of 0.7 mg/kg daily. Ozone was generated by the ozone generator (Ozonosan Photonik 1014; Hansler GmbH, Nordring 8, Iffezheim, Germany), allowing control of the gas flow rate and ozone concentration in real time by a built-in UV spectrometer. The ozone flow rate was kept constant at 3 L/min, representing a concentration of 60 mg/ml and a gas mixture of 97% oxygen + 3% ozone. Tygon polymer tubes and single-use silicon-treated polypropylene syringes (ozone resistant) were used throughout the reaction to ensure containment of ozone and consistency of concentrations. The detailed experimental setup was demonstrated in Table 1.

 Table 1 

Schedule for sepsis induction and timing of treatments.

Study groups
Day of experimentTreatment timeShamControlHBOOzone
Day 08 a.m.---E.coliE.coliE.coli
6 p.m.SalineCefepimeCefepime + HBOCefepime + OT
Day 16 a.m.SalineCefepimeCefepime + HBOCefepime
6 p.m.SalineCefepimeCefepime + HBOCefepime + OT
Day 26 a.m.SalineCefepimeCefepime + HBOCefepime
6 p.m.SalineCefepimeCefepime + HBOCefepime + OT
Day 36 a.m.SalineCefepimeCefepime + HBOCefepime
6 p.m.SalineCefepimeCefepime + HBOCefepime + OT
Day 46 a.m.SalineCefepimeCefepime + HBOCefepime
6 p.m.SalineCefepimeCefepime + HBOCefepime + OT
Day 56 a.m.SalineCefepimeCefepime + HBOCefepime
4 p.m.Sacrificing

Induction of sepsis

Rats in the Control, HBO and OT groups received intraperitoneal inoculums of 1 ml saline containing viable Escherichia (E.) coli cells (2.1x109 cfu). E.coli bacteria were isolated from the blood of a septic patient who was hospitalized at Gulhane Military Medical Academy Hospital (Ankara, Turkey). Sepsis induction was started at the same hour (8 a.m.) in all groups to prevent the possible effects of biological rhythm.

Sample collection

At the end of 5th day of the study, general anaesthesia was administered to immobilize the rats [intraperitoneal ketamine (50 mg/kg) and dehydrobenzoperidol (2 mg/kg)], blood samples for biochemical evaluation was obtained from vena cava inferior of the rats. Lung tissue samples were taken and divided into two pieces, one of them was fixed in 10% formalin solution for histopathological evaluation and the other was stored at -80°C to determine antioxidant enzyme activity, tissue lipid peroxidation and myeloperoxidase activity. Blood samples were centrifuged at 2000g; serum samples were separated and stored at -80°C until being used for cytokine assays.

Biochemical analysis

The frozen tissues were homogenized in lyses buffer on an ice cube by using a homogenizator (Heidolph Diax 900; Heidolph Elektro GmbH, Kelhaim, Germany). The supernatant was used to assay tissue parameters. Initially, the protein content of tissue homogenates and supernatants were measured by the method of Lowry using bovine serum albumin as the standard [24].

Levels of lipid peroxidation were measured by the thiobarbituric acid (TBA) reaction according to the method of Ohkawa where the reaction of thiobarbituric acid (TBA) with malondialdehyde (MDA) gives a color with a maximum absorbance at 535 nm [25]. The calculated MDA levels were expressed as mmol/g-protein. Superoxide dismutase (SOD) activity was assayed by using a modified nitroblue tetrazolium (NBT) method as previously described [26]. Briefly, NBT was reduced to blue formazan by the superoxide radical (·O2-), which has a strong absorbance at 560 nm. One unit (U) of SOD is defined as the amount of protein that inhibits the NBT reduction rate by 50%. The estimated SOD activity was expressed as units per gram protein. Glutathione peroxidase (GSH-Px) activity was determined by using the previously described method in which GSH-Px activity was coupled with the oxidation of NADPH by glutathione reductase [27]. The oxidation of NADPH had been observed spectrophotometrically at 340 nm, at 37ºC for 5 min. The GSH-Px activity was the slope of the line obtained by plotting the amount of NADPH oxidized versus time. GSH-Px activity was expressed as U/gr protein.

Tissue myeloperoxidase (MPO) activities and serum proinflammatory cytokine (TNF-α, IL-1β) levels were evaluated by enzyme linked immunosorbent assay (ELISA) using commercially available kits according to the manufacturer's instructions (Biosource, Camarillo, CA, USA for cytokines; and USCN Life Science Inc., Wuhan, China for MPO).

Histologic evaluation

Lung tissues were fixed in formalin for 24 h, embedded in paraffin and cut into 4 µm sections. The slides were stained with hematoxylin and eosin (H&E) and examined under light microscope. Each slide was evaluated by two expert investigators blinded to the experiment groups. Lung injury was evaluated based on a modified scoring system, including four different categories, i.e. edema, hemorrhage, leukocyte infiltration and alveolar septal thickening, to grade the degree of lung injury in 10 fields [28]. Each category was scored from 0 to 4; then the total lung injury score was calculated by adding the individual scores for each category and the scores for each histological parameter were summed up to a maximum score of 16.

Statistical analysis

Normality analyses were first performed using the Shapiro-Wilk test in order to evaluate the distribution of the data. Since presenting non-normal distribution, variance analyses of the entire results were done by the Kruskal-Wallis test. Then, dual comparisons among groups were performed by the Mann-Whitney U test. P values less than 0.05 were considered significant. All analyses were performed with the Statistical Package for the Social Sciences (SPSS) software (version 11.0; SPSS Inc. Chicago, IL, USA). Results were expressed as the median values and their minimum-maximum ranges.

RESULTS

During the study period, all animals were survived, and no complication was seen related to induction of sepsis and treatment technique.

Biochemical analysis

Lung tissue MDA levels of the control group were found to be significantly higher compared to all other groups. The MDA values of HBO and OT were not different significantly compared with sham animals.

Antioxidant enzyme values, SOD and GSH-Px, were found to decrease in control animals. Compared to control group, OT group had significantly higher levels for both SOD and GSH-Px activity and HBO group had only increased SOD activity. The GSH-Px activity in OT group was significantly higher than HBO group. The detailed outcome of these oxidative stress parameters were presented in Figure 1.

 Figure 1 

Oxidative stress indices in lung tissue. A: MDA levels were found to be significantly increased and antioxidant enzymes depressed in the cefepime alone treated group. The addition of HBO or OT reversed these changes that MDA levels returned near to sham values. B and C: GSH-Px and SOD were found to be decreased in control animals. The activity of GSH-Px was significantly more improved with OT than HBO. OT group had significantly higher levels for both SOD and GSH-Px activity compared to control group. HBO group had increased SOD activity. GSH-Px activities of OT group were significantly higher than HBO group. ap<0.05 vs. sham, bp<0.05 vs. control (cefepime), cp<0.05 vs. HBO groups.

Int J Med Sci Image

Myeloperoxidase activity in the lung tissue of control group was found to be increased significantly compared to sham group indicating neutrophil infiltration into the lung tissue. Both OT and HBO administration decreased the MPO activity; however, the values were still significantly higher than that of the sham group. Mean MPO activities in each group were shown in Figure 2.

 Figure 2 

Lung tissue myeloperoxidase activity. The increased MPO activity in the control (cefepime) group was significantly reduced when HBO or OT was used as adjuvant. ap<0.05 vs. sham, bp<0.05 vs. control (cefepime) groups.

Int J Med Sci Image

Serum TNF-α and IL-1β levels in the control group were significantly higher than sham animals indicating an inflammatory response related to sepsis. OT was able to reverse these changes significantly, whereas HBO reduced only TNF-α level. The outcome of these proinflammatory parameters were presented in Figure 3.

 Figure 3 

Serum proinflammatory cytokine levels. The antibiotic only (control) treated group presented significantly higher TNF-α and IL-1β values than the sham animals. Both HBO and ozone treatment reduced the cytokine levels of which IL-1β was significantly more reduced with OT than HBO. ap<0.05 vs. sham, bp<0.05 vs. control (cefepime), cp<0.05 vs. HBO groups.

Int J Med Sci Image

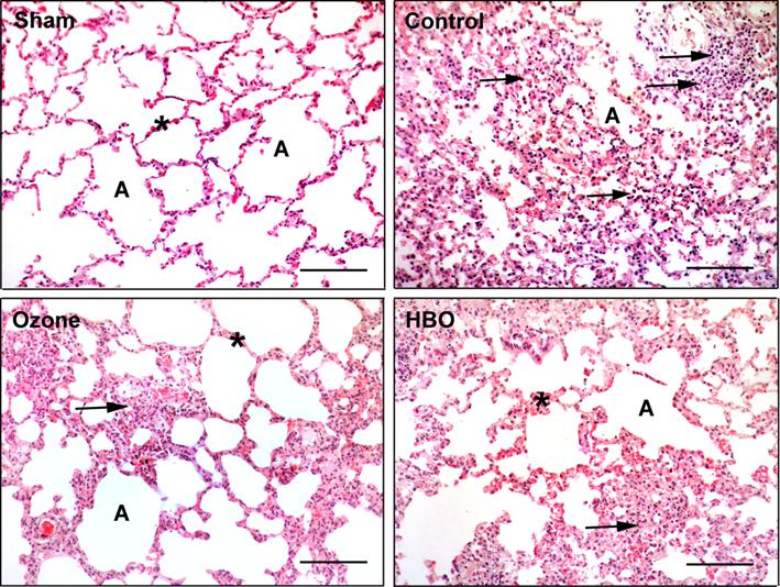
Histologic evaluation

Histological examination revealed no evidence of sepsis in the sham group, while all animals in the control group showed severe degrees of sepsis with marked edema, hemorrhage, leukocyte infiltration and alveolar septal thickening. Degrees of hemorrhage, leukocyte infiltration, and alveolar septal thickening in the HBO and OT groups, were much lower than the control group. The decrease in the lung injury score of OT was more evident than HBO group being stastically significant. Representative photomicrographs of the study groups were presented in Figure 4 and the detailed injury scores were shown in Table 2.

 Figure 4 

Representative photographs of histological sections of lung tissues. Sham group showed normal alveolar (A) structure in lung. In control (sepsis+cefepime) group, inter alveolar septum (*) thickening and leukocyte infiltration (black arrows) were seen. In other groups, both of OT and HBO treatment normalized alveolar septal thickening and leukocyte infiltration. These histopathologic findings were more markedly seen in HBO group than ozone group (H&E, Scale bars=100 μm).

Int J Med Sci Image
 Table 2 

Histologic scores of lung injury (median and range).

ShamControlHBOOzone
Edema0 (0-1)2 (1-3)1 (1-3)1 (1-3)
Hemorrhage0 (0-1)3 (3-4)3 (1-4)1 (1-3)
Leukocyte infiltration0 (0-1)3 (2-4)2 (1-3)1 (1-3)
Septal thickening0 (0-1)4 (2-4)2 (2-3)2 (1-2)
Total injury score0 (0-4)12 (8-15) a8 (5-13) a,b5 (4-11) a,b,c
ap<0.05 vs sham, bp<0.05 vs control (cefepime), cp<0.05 vs HBO groups.

DISCUSSION

The biochemical and histological data in the current study confirmed the established effects of HBO in septic lung injury in rats. Nevertheless, OT administration also reduced the oxidative stress, proinflammatory cytokines levels, MPO activities and histopathological injury scores significantly. The increase in the antioxidant enzyme activities, the suppression of IL-1β levels and the improvement in histological outcome were much more apparent in OT than HBO treatment group.

HBO is anticipated by the investigators because of its bidirectional action on tissues, both inducing oxidative stress [29] and reducing or altering the existing oxidative stress [30]. Its beneficial effects involve impairment of leukocyte adhesion, enhancement of antibacterial mechanisms and stimulation of fibroblast proliferation, and neo-vascularization [7,30]. However, both its therapeutic and adverse effects have not been established adequately. Previous experimental works of this group demonstrated pronounced benefit of HBO in various pathological conditions including cystitis, colitis, pancreatitis and sepsis accompanied by oxidative stress [9,31-33]. It is known that HBO treatment results in increased production of reactive oxygen species (ROS) [29] which act as important signaling molecules in enhancing host defense system [34]. Some of HBO's beneficial effects were proposed to be carried out especially by superoxide ion and hydrogen peroxide (H2O2) [35]. H2O2 is accepted to mediate host defense and immune response by regulating signal transduction [36-37].

OT also mediated its action via oxidative products. After being administered, ozone dissolves in biological fluids such as plasma, lymph and urine; and immediately reacts with polyunsaturated fatty acids, antioxidants, reduced glutathione and albumin resulting in formation of lipid peroxidation products and H2O2. While H2O2 acts as an early and short-acting messenger, lipid peroxidation products were distributed to the tissues via circulation and become late and long-lasting messengers. This process stimulates the innate immune system and helps the cell to survive when an injury occurs [14].

A previous study involving pretreatment with ozone in a LPS-induced shock model demonstrated a reduction of serum TNF-α levels and lipid peroxidation in liver, where antioxidant enzyme activities increased [38]. Another recent work, again, proves the efficacy of ozone pretreatment in a fecal peritonitis model by means of reducing lung MPO activity and serum lipid peroxidation, and increasing antioxidant enzyme activities [39]. However, an aggravating effect of ozone pretreatment on the systemic inflammatory response during sepsis was also reported [40]. These contradictory findings necessitate studies testing the efficacy of OT after sepsis induction rather than pre-conditioning to clarify the mode of action by OT.

Our research team has previously presented the benefits of OT in various pathological conditions [16-17,41]. It was observed that OT reduced oxidative stress levels, tissue injury, and bacterial translocation rates more effectively than HBO in an experimental model of necrotizing pancreatitis. [18]. In the experimental model used in this study, both HBO and OT reduced oxidative stress indices and myeloperoxidase activity, levels of serum proinflammatory cytokines and histopathological injury scores considering lung tissue in septic rats. Compared with HBO, OT presented a greater benefit over histopathological injury scores and IL-1β levels. Therefore, according to the findings of this study, OT is proposed as an alternative therapy to improve the outcome of sepsis and its complications in addition to antibiotherapy.

Different route and duration of administration as well as dosage may be important in Ozone's combatting lung infection better than HBO in this study. However, further experimental and clinical studies in animal models and human beings are needed to understand molecular elements, ligand and receptors, involved in the mode of action of ozone and HBO.

Finally, according to the results of this study OT should be regarded as an alternative therapeutic approach to HBO as an adjuvant to antibiotherapy in the control of sepsis regarding their effects via modulation of the oxidative/antioxidant status.

Acknowledgements

This work was supported by the Gulhane Military Medical Academy Research and Progress Center with the Grant AR-2009/03.

Conflict of Interest

The authors have declared that no conflict of interest exists.

References

1. Rooney Z, Nadel S. Optimizing intensive care management in paediatric sepsis. Curr Opin Infect Dis. 2009;22:264-271

2. Cunnington A, Nadel S. New therapies for sepsis. Curr Top Med Chem. 2008;8:603-614

3. Hotchkiss RS, Karl IE. The Pathophysiology and Treatment of Sepsis. N Engl J Med. 2003;348:138-150

4. van der Poll T, van Deventer SJH. Cytokines and anticytokines in the pathogenesis of sepsis. Infect Dis Clin North Am. 1999;13:413-26

5. Ozturk E, Demirbilek S, Begec Z. et al. Does leflunomide attenuate the sepsis-induced acute lung injury? Pediatr Surg Int. 2008;24:899-905

6. Edelman DA, Jiang Y, Tyburski JG, Wilson RF, Steffes CP. Cytokine production in lipopolysaccharide-exposed rat lung pericytes. J Trauma. 2007;62:89-93

7. Gill AL, Bell CNA. Hyperbaric oxygen: its uses, mechanisms of action and outcomes. QJM. 2004;97:385-395

8. Oter S, Edremitlioglu M, Korkmaz A. et al. Effects of hyperbaric oxygen treatment on liver functions, oxidative status and histology in septic rats. Intensive Care Med. 2005;31:1262-1268

9. Edremitlioglu M, Kilic D, Oter S. et al. The effect of hyperbaric oxygen treatment on the renal functions in septic rats: Relation to oxidative damage. Surg Today. 2005;35:653-661

10. Luongo C, Imperatore F, Cuzzocrea S. et al. Effects of hyperbaric oxygen exposure on a zymosan-induced shock model. Crit Care Med. 1998;26:1972-1976

11. Imperatore F, Cuzzocrea S, Luongo C. et al. Hyperbaric oxygen therapy prevents vascular derangement during zymosan-induced multiple-organ-failure syndrome. Intensive Care Med. 2004;30:1175-1181

12. Thom SR, Lauermann MW, Hart GB. Intermittent Hyperbaric-Oxygen Therapy for Reduction of Mortality in Experimental Polymicrobıal Sepsis. J Infect Dis. 1986;154:504-510

13. Bocci V. Ozone as Janus: this controversial gas can be either toxic or medically useful. Mediators Inflamm. 2004;13:3-11

14. Bocci VA. Scientific and medical aspects of ozone therapy. State of the art. Arc Med Res. 2006;37:425-435

15. Bocci V. Does ozone therapy normalize the cellular redox balance? Implications for the therapy of human immunodeficiency virus infection and several other diseases. Med Hypotheses. 1996;46:150-154

16. Guven A, Gundogdu G, Vurucu S. et al. Medical ozone therapy reduces oxidative stress and intestinal damage in an experimental model of necrotizing enterocolitis in neonatal rats. J Pediatr Surg. 2009;44:1730-1735

17. Guven A, Gundogdu G, Sadir S. et al. The efficacy of ozone therapy in experimental caustic esophageal burn. J Pediatr Surg. 2008;43:1679-1684

18. Uysal B, Yasar M, Ersoz N. et al. Efficacy of hyperbaric oxygen therapy and medical ozone therapy in experimental acute necrotizing pancreatitis. Pancreas. 2010;39:9-15

19. Oter S, Korkmaz A. Relevance of hyperbaric oxygen to ozone therapy. Arch Medl Res. 2006;37:917-918

20. Madej P, Plewka A, Madej JA. et al. Ozonotherapy in an induced septic shock. I. Effect of ozonotherapy on rat organs in evaluation of free radical reactions and selected enzymatic systems. Inflammation. 2007;30:52-58

21. Madej P, Plewka A, Madej JA. et al. Ozone therapy in induced endotoxemic shock. II. The effect of ozone therapy upon selected histochemical reactions in organs of rats in endotoxemic shock. Inflammation. 2007;30:69-86

22. Bette M, Nusing RM, Mutters R. et al. Efficiency of tazobactam/piperacillin in lethal peritonitis is enhanced after preconditioning of rats with O-3/O-2-pneumoperitoneum. Shock. 2006;25:23-29

23. Schulz S, Rodriguez ZZ, Mutters R, Menendez S, Bettec M. Repetitive pneumoperitoneum with ozonized oxygen as a preventive in lethal polymicrobial sepsis in rats. Eur Surg Res. 2003;35:26-34

24. Lowry OH, Rosebrough NJ, Farr AL, Randall RJ. Protein measurement with the Folin phenol reagent. J Biol Chem. 1951;193:265-275

25. Ohkawa H, Ohishi N, Yagi K. Assay for lipid peroxides in animal tissues by thiobarbituric acid reaction. Anal Biochem. 1979;95:351-358

26. Durak I, Yurtarslanl Z, Canbolat O, Akyol O. A Methodological Approach to Superoxide-Dısmutase (SOD) Activity Assay Based on Inhibition of Nitroblue Tetrazolium (NBT) Reduction. Clin Chim Acta. 1993;214:103-104

27. Paglia DE, Valentine WN. Studies on the quantitative and qualitative characterization of erythrocyte glutathione peroxidase. J Lab Clin Med. 1967;70:158-169

28. Murakami K, Bjertnaes LJ, Schmalstieg FC. et al. A novel animal model of sepsis after acute lung injury in sheep *. Crit Care Med. 2002;30:2083-2090

29. Narkowicz CK, Vial JH, McCartney PW. Hyperbarıc-Oxygen Therapy Increases Free-Radıcal Levels in The Blood of Humans. Free Radic Res Commun. 1993;19:71-80

30. Buras J. Basic mechanisms of hyperbaric oxygen in the treatment of ischemia-reperfusion injury. Int Anesthesiol Clin. 2000;38:91-109

31. Korkmaz A, Oter S, Deveci S. et al. Involvement of nitric oxide and hyperbaric oxygen in the pathogenesis of cyclophosphamide induced hemorrhagic cystitis in rats. J Urol. 2003;170:2498-2502

32. Gulec B, Yasar M, Yildiz S. et al. Effect of hyperbaric oxygen on experimental acute distal colitis. Physiol Res. 2004;53:493-499

33. Yasar M, Yildiz S, Mas R. et al. The effect of hyperbaric oxygen treatment on oxidative stress in experimental acute necrotizing pancreatitis. Physiol Res. 2003;52:111-116

34. Suzuki YJ, Forman HJ, Sevanian A. Oxidants as stimulators of signal transduction. Free Radic Res Commun. 1997;22:269-285

35. Hink J, Jansen E. Are superoxide and/or hydrogen peroxide responsible for some of the beneficial effects of hyperbaric oxygen therapy? Med Hypotheses. 2001;57:764-769

36. Halliwell B, Clement MV, Long LH. Hydrogen peroxide in the human body. FEBS Letters. 2000;486:10-13

37. Reth M. Hydrogen peroxide as second messenger in lymphocyte activation. Nat Immunol. 2002;3:1129-1134

38. Zamora ZB, Borrego A, Lopez OY. et al. Effects of ozone oxidative preconditioning on TNF-alpha release and antioxidant-prooxidant intracellular balance in mice during endotoxic shock. Mediators Inflamm. 2005:16-22

39. Rodriguez ZZ, Guanche D, Alvarez RG. et al. Preconditioning with ozone/oxygen mixture induces reversion of some indicators of oxidative stress and prevents organic damage in rats with fecal peritonitis. Inflamm Res. 2009;58:371-375

40. Torossian A, Ruehlmann S, Eberhart L. et al. Pre-treatment with ozonized oxygen (O-3) aggravates inflammation in septic rats. Inflamm Res. 2004;53:S122-S125

41. Kesik V, Uysal B, Kurt B, Kismet E, Koseoglu V. Ozone ameliorates methotrexate-induced intestinal injury in rats. Cancer Biol Ther. 2009;8:1630-1635

Author contact

Corresponding address Corresponding author: Yesim Oztas, M.D., Department of Clinical Biochemistry, Hacettepe University, School of Medicine, Ankara, Sıhhiye, 06100, Turkey. Phone: +90 312 3051652; Fax: +90 312 3245885; Email: yoztasedu.tr


Citation styles

APA
Yamanel, L., Kaldirim, U., Oztas, Y., Coskun, O., Poyrazoglu, Y., Durusu, M., Cayci, T., Ozturk, A., Demirbas, S., Yasar, M., Cinar, O., Tuncer, S.K., Eyi, Y.E., Uysal, B., Topal, T., Oter, S., Korkmaz, A. (2011). Ozone Therapy and Hyperbaric Oxygen Treatment in Lung Injury in Septic Rats. International Journal of Medical Sciences, 8(1), 48-55. https://doi.org/10.7150/ijms.8.48.

ACS
Yamanel, L.; Kaldirim, U.; Oztas, Y.; Coskun, O.; Poyrazoglu, Y.; Durusu, M.; Cayci, T.; Ozturk, A.; Demirbas, S.; Yasar, M.; Cinar, O.; Tuncer, S.K.; Eyi, Y.E.; Uysal, B.; Topal, T.; Oter, S.; Korkmaz, A. Ozone Therapy and Hyperbaric Oxygen Treatment in Lung Injury in Septic Rats. Int. J. Med. Sci. 2011, 8 (1), 48-55. DOI: 10.7150/ijms.8.48.

NLM
Yamanel L, Kaldirim U, Oztas Y, Coskun O, Poyrazoglu Y, Durusu M, Cayci T, Ozturk A, Demirbas S, Yasar M, Cinar O, Tuncer SK, Eyi YE, Uysal B, Topal T, Oter S, Korkmaz A. Ozone Therapy and Hyperbaric Oxygen Treatment in Lung Injury in Septic Rats. Int J Med Sci 2011; 8(1):48-55. doi:10.7150/ijms.8.48. https://www.medsci.org/v08p0048.htm

CSE
Yamanel L, Kaldirim U, Oztas Y, Coskun O, Poyrazoglu Y, Durusu M, Cayci T, Ozturk A, Demirbas S, Yasar M, Cinar O, Tuncer SK, Eyi YE, Uysal B, Topal T, Oter S, Korkmaz A. 2011. Ozone Therapy and Hyperbaric Oxygen Treatment in Lung Injury in Septic Rats. Int J Med Sci. 8(1):48-55.

This is an open access article distributed under the terms of the Creative Commons Attribution (CC BY-NC) License. See http://ivyspring.com/terms for full terms and conditions.
Popup Image