Int J Med Sci 2010; 7(6):340-341. doi:10.7150/ijms.7.340 This issue Cite

Case Report

A severe coarctation of aorta in a 52-year-old male: a case report

Davran Cicek1 Corresponding address, Cevahir Haberal2, Suleyman Ozkan3, Haldun Muderrisoglu4

1. Başkent University School of Medicine, Department of Cardiology, Antalya, Turkey
2. Başkent University School of Medicine, Department of Cardiovascular Surgery, Antalya, Turkey
3. Acıbadem University, Department of Cardiovascular Surgery, Istanbul, Turkey
4. Başkent University School of Medicine, Department of Cardiology, Ankara, Turkey

Received 2010-7-15; Accepted 2010-10-5; Published 2010-10-8

Citation:
Cicek D, Haberal C, Ozkan S, Muderrisoglu H. A severe coarctation of aorta in a 52-year-old male: a case report. Int J Med Sci 2010; 7(6):340-341. doi:10.7150/ijms.7.340. https://www.medsci.org/v07p0340.htm
Other styles

File import instruction

Abstract

Aortic coarctation is a congenital malformation of the aorta usually diagnosed and corrected early in life. Long-term survival is exceptional in patients with untreated aortic coarctation. In this case report, we present a late diagnosis of aortic coarctation in a 52-year-old male. Our patient was relatively asymptomatic until he presented with exertional dyspnea and fatigue in his fifth decade of life. The patient was managed by surgery of aorta. After the 1-year follow-up visit, the patient was in good clinical condition.

Keywords: Aortic coarctation, congenital malformation, aortic surgery

Case Presentation

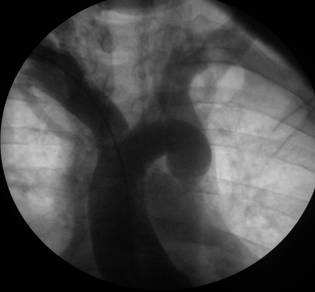
A 52-year-old obese white man was referred to our hospital because of increasing fatigue and exertional dyspnea. He had been well until 5 months previously. The patient had a medical history of dyslipidemia and hypertension. His hypertension was poorly controlled despite a combination of antihypertensive agents (beta-blocker and angiotensin receptor blocker). Physical examination showed blood pressure 140/90 in both arms, a heart rate of 74 beats/minute and an apical gallop sound (S4). Femoral pulses were palpable bilaterally but weak and delayed compared to the brachial pulses. His echocardiogram showed bicuspid aortic valve with minimal regurgitation, segmental wall motion abnormalities and mild mitral insufficiency. A cardiac silhouette at the upper limits of normal and notching of the ribs were observed on the chest radiography. Due to the significance of the cardiac dysfunction and his clinical presentation, the patient underwent a cardiac catheterization to evaluate his coronary artery disease. The left ventricular ejection fraction was significantly reduced (Ejection fraction: 30-35%). There was no evidence of mitral valve prolapse. Aortography showed a mildly dilated aortic root, minimal aortic valve insufficiency and a significant ring-like stenosis in the thoracic descending aorta (Figures 1 and 2). The gradient through this stenosis measured 80 mmHg. The coronary angiography was negative for significant focal coronary artery obstruction. The patient was then referred to cardiothoracic surgery. The procedure was done via left posterolateral thoracotomy from the fifth intercostal space. Since, the collaterals were well recognized before surgery, the procedure was achieved without major bleeding and any adverse event. Furthermore, the patient was adult and any minor bleeding has not resulted in requirement of blood transfusion. The coarctated segment was resected totally and end to end anastomosis of thoracic aorta was performed in a standart fashion. The coarctated segment was short in our patient and it was not difficult to get the two ends together without tension on the anastomosis so that we do not considered an interposition graft. The cross clamp time was 23 minutes and because the collaterals were left intact, any malperfusion syndrome has not occurred. Total hospital stay after procedure was only four days. After the 1-year follow-up visit, the patient was in good clinical condition.

 Figure 1 

Ascending aortography

Int J Med Sci Image
 Figure 2 

Descending aortography

Int J Med Sci Image

Discussion

Aortic coarctation is a congenital vascular lesion typically diagnosed in early life, accounting for 5 to 10% of all congenital cardiovascular malformations1 but may go undetected well until adulthood2. It manifests as childhood hypertension, lower extremity fatigue or weakness, diminished lower extremity pulses and/or congestive heart failure. Diagnosis is usually based on clinical suspicion and physical findings3. The latter include blood pressure difference between the upper and lower extremities, pulse delay and systolic murmur over the thoracic spine. Other manifestations can include bicuspid aortic valve systolic ejection sound and/or murmur and neurological complaints. Prognosis and survival depend on the disease severity and patient's age at the time of correction. Death in these patients is usually due to heart failure, coronary artery disease, aortic rupture/dissection, concomitant aortic valve disease, infective endarteritis/endocarditis, or cerebral hemorrhage4,5. There are few reports of patients first diagnosed with uncorrected aortic coarctation at very late age2,6,7, Treatment consists of aggressive hypertension therapy, endocarditis prophylaxis and corrective treatment for coarctation lesions with a high gradient8. In this case report, we present aortic coarctation with bicuspid aortic valve in a 52-year-old male. Our patient was relatively asymptomatic until he presented with chest discomfort, fatigue and dyspnea in his fifth decade of life.

Conflict of interest

None declared.

References

1. Grech V. Diagnostic and surgical trends, and epidemiology of coarctation of the aorta in a population-based study. Int J Cardiol. 1999;68:197-202

2. Cevik S, Izgi C, Cevik C. Asymptomatic severe aortic coarctation in an 80-year-old man. Tex Heart Inst J. 2004;31:429-431

3. Warnes CA, Deanfield JE. Congenital heart disease in adults. In: (ed.) Alexander RW. et al. Hurst's The Heart Volume 2, 11th edition. New York: McGraw Hill Professional. 2004:1866

4. Campbell M. Natural history of coarctation of the aorta. Br Heart J. 1970;32:633-640

5. Jenkins NP, Ward AR. Coarctation of the aorta: natural history and outcome after surgical treatment. QJM. 1999;92:365-371

6. Convens C, Vermeersch P, Paelinck B, Van den Heuvel P, Van den Branden F. Aortic coarctation: a rare and unexpected cause of secondary arterial hypertension in the elderly. Cathet Cardiovasc Diagn. 1996;39:71-74

7. Miro O, Jimenez S, Gonzalez J, De Caralt TM, Ordi J. Highly effective compensatory mechanisms in a 76-year-old man with a coarctation of the aorta. Cardiology. 1999;92:284-286

8. Bauer M, Alexi-Meskishvili V, Bauer U. Benefits of surgical repair of coarctation of the aorta in patients older than 50 years. Ann Thorac Surg. 2001;72:2060- 2064

Author contact

Corresponding address Corresponding author: Dr. Davran Çiçek, Başkent University School of Medicine, Department of Cardiology, Saray Mah. Yunusemre Cad., No:1 07400 Alanya, Antalya, Turkey. Telephone: 90 532 3336466-90 505 6809188; Fax: 90 242 5115563; e-mail: davrancicekcom


Citation styles

APA
Cicek, D., Haberal, C., Ozkan, S., Muderrisoglu, H. (2010). A severe coarctation of aorta in a 52-year-old male: a case report. International Journal of Medical Sciences, 7(6), 340-341. https://doi.org/10.7150/ijms.7.340.

ACS
Cicek, D.; Haberal, C.; Ozkan, S.; Muderrisoglu, H. A severe coarctation of aorta in a 52-year-old male: a case report. Int. J. Med. Sci. 2010, 7 (6), 340-341. DOI: 10.7150/ijms.7.340.

NLM
Cicek D, Haberal C, Ozkan S, Muderrisoglu H. A severe coarctation of aorta in a 52-year-old male: a case report. Int J Med Sci 2010; 7(6):340-341. doi:10.7150/ijms.7.340. https://www.medsci.org/v07p0340.htm

CSE
Cicek D, Haberal C, Ozkan S, Muderrisoglu H. 2010. A severe coarctation of aorta in a 52-year-old male: a case report. Int J Med Sci. 7(6):340-341.

This is an open access article distributed under the terms of the Creative Commons Attribution (CC BY-NC) License. See http://ivyspring.com/terms for full terms and conditions.
Popup Image